广安市******例DIO数字化种植牙
韩国的整容医疗技术大家都觉得那***是个传奇,想怎么整***怎么整,韩国偶像剧的欧吧更是帅的不要不要的,现在带大家看看更帅的韩国种植牙硕士金成玟医生(宋仲基的初中同学)。
金医生与杨锐牙科李医生合影

韩国DIO种植系统从2001年到2016年已经有15年历史,公司总部坐落于釜山市中心,是韩国上市企业,同时也是***早进入中国,***早获得许可的的韩国种植系统之一,公司有自己的工厂,生产车间、消毒设施、研发团队,也是******数字化种植方面的先驱者。
杨锐牙科本身具备比较高端的医疗设备(如数字化CBCT3D口内扫描等)、有******的医师团队所以能更好的与******的数字化种植技术******的结合,发挥出数字化方面的优势,数字化是种植牙医疗未来发展的方向。
杨锐牙科开展了韩国DIO数字化种植系统,DIO数字化种植牙跟传统的种植牙不同,它是以数字化种植系统为依托进行种植。
8月份特别邀请到韩国DIO数字化种植牙专家金成玟医生到杨锐牙科进行数字化种植临床指导,数字化种植过程无痛苦,无需切口、缝线,根据数字导板直接进行种植,更方便、更快捷。
韩国DIO数字化种植牙专家金医生与杨锐牙科向医生合作进行种植
认真专注的医生们是不是很帅呢!
患者朱先生(中)与杨锐牙科的中韩医生团队合影
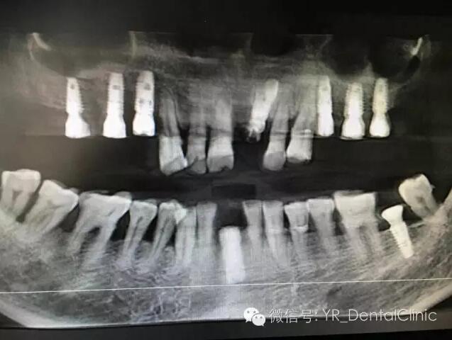
种植前全景片
种植后全景片(3小时完成9颗种植牙正真体现了微创、快捷、术后无痛)广安市******例数字化种植
韩国DIO数字化种植牙特点
1.微创:数字化种植牙仅仅需开一个豌豆大的小洞,而传统种植牙则需要切开粘膜,暴露手术区。
2.数字化种植牙的安全性:因为微创所以术后创伤小、出血少、具有无痛的特点。
3.修复为导向:用咀嚼功能引导种植方向及种植深浅(吃的更香、用得更久)。
4.稳定的种植体:种植义齿通过基桩上的固位装置,将上部义齿固定,有良好的固位和稳定作用可增加舒适感,有很好的咀嚼力。
5.数字化种植牙使用年限:比传统种植牙延长6年以上。
种植牙咨询热线:0826-5236408
地 址:岳池县环城东路62号(阶梯书屋对面二楼)
QQ :3085484728
内容编辑