***上层
神奇的3D口内扫描
发布时间: 2016-07-29 11:12 4148 次浏览
真正的真彩口内扫描仪
3shape公司Trios扫描仪是目前全球******的真彩口内扫描仪。
不同于常规的彩色口内扫描仪,Trios口内扫描仪不仅提供
全全数字化的三维影像数据,同时它能自动捕获口内***真实的颜色。
一、***广泛的适应症范围
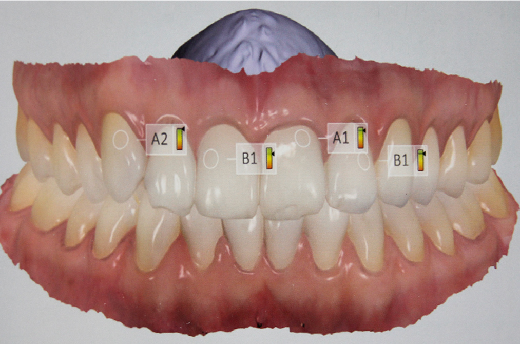
二、数字化自动比色系统

3shape真彩口内扫描仪Trios扫描系统中内置全套Vita Ciassical维他经
典,Vita3D Master维他3D和Ivoclar色板,能够充分满足临床各种比色需求
三、开放兼容所有CBCT数据

3shape Implant Studio种植导板软件采用以修复为导向的种植理念。它能接收所有开放格式的CBCB数据,并将Trios口内扫描仪获取的软组织及表面信息与CBCT的骨组织信息重合。从而快速确定种植以及修复计划,直接生成种植导板和临时基台等修复体。
四、全数字化种植流程
内容编辑